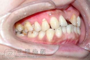
你有没有发现,有时候对着镜子笑一笑,牙齿却成了尴尬的点?没错,就是那颗或多颗让你头疼的烂牙。别急,今天就来给你揭秘成人烂牙根治方法,让你重拾自信的笑容!一、烂牙的成因,你了解多少?首先,得知道烂牙是怎么来的。其实,烂...
你有没有想过,在忙碌的生活中,找点乐子同时还能锻炼身体呢?蹦床,这个看似简单的运动,竟然能让你在欢笑中燃烧卡路里,是不是很神奇?今天,就让我带你一起探索蹦床成人锻炼的乐趣吧!一、蹦床,不只是孩子的游戏提起蹦床,很多人...
你有没有想过,在这个信息爆炸的时代,网络上的内容真是五花八门,应有尽有?今天,我要跟你聊聊一个特别的话题——8x成人在线视频。别害羞,这可是很多人好奇但又不敢问的问题。咱们就大胆一点,一起来揭开这个神秘的面纱吧!一、...
你有没有想过,骑马这项活动,不仅仅是孩子们的天堂,成年人也能在其中找到乐趣和挑战呢?没错,成人马术训练视频,就是为你我这样的“大朋友”量身定制的。今天,就让我们一起走进这个充满魅力的世界,看看这些视频是如何让马术成为...
你有没有想过,当你在屏幕前看到那些轮滑高手在街头巷尾自由驰骋,是不是也想要加入他们的行列?别急,今天就来带你一起走进成人轮滑的世界,通过那些精彩纷呈的过程视频,让你感受轮滑的魅力,一步步学会这项酷炫的运动。初识轮滑:...
最近在网上看到一个特别有趣的视频,讲的是一位小姐姐分享她如何成功抵抗水痘的经历。这让我想起了自己小时候得水痘的痛苦回忆,所以今天就来和大家聊聊这个话题,顺便看看这位小姐姐的攻略是不是能帮到我们。水痘,那个让人又爱又恨...
你有没有想过,在这个快节奏的生活中,偶尔放松和另一半来点不一样的互动呢?没错,就是那种既能增进感情,又能带来乐趣的成人趣味双人视频。今天,就让我带你一起探索这个神秘的世界,看看它究竟有什么魅力,又是如何让无数情侣为之...
你有没有想过,那些已经步入社会、甚至成家立业的成年人,突然决定重返校园,追求大学学历的场景会是怎样的呢?最近,网络上出现了一波特别的视频,记录了这些勇敢追梦的成人考生们,他们的故事让人感动,也让人好奇。今天,就让我们...
你是不是也觉得生活压力山大,有时候感觉就像背着一座大山,喘不过气来?别担心,今天我要给你介绍一个超级实用的宝藏——成人抗压力训练视频!没错,就是那种可以在家里就能做的,简单又有效的训练,让你轻松应对生活中的各种压力。...
你知道吗?最近在网上看到一个超级有趣的成人爵士招生视频,简直让人热血沸腾!这不,我就迫不及待地想和你分享看看这个视频是如何用各种方式吸引人的。一、视觉冲击:色彩斑斓的爵士世界打开视频,首先映入眼帘的是一幅色彩斑斓的爵...